Por que a limpeza profissional é indispensável? Dr. Paulo explica
Quando foi a última vez que você fez a sua? Não se lembra? Agende já a sua avaliação
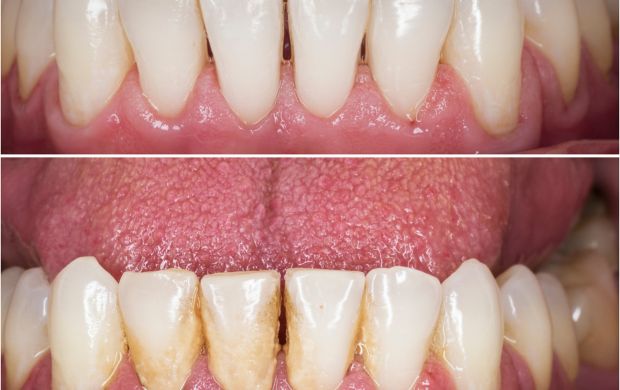
A limpeza profissional é um dos cuidados mais importantes para manter a saúde bucal em dia, e, ainda assim, muita gente deixa passar. Mesmo com escovação correta e uso frequente de fio dental, a boca possui regiões de difícil acesso onde a placa bacteriana se acumula.
Com o tempo, essa placa endurece e se transforma em tártaro, um material que não pode ser removido em casa e exige intervenção profissional. Ignorar esse processo favorece inflamações, sangramentos, mau hálito e até problemas mais sérios, como periodontite.
Durante a limpeza realizada no consultório, o dentista remove placa e tártaro, faz o polimento dos dentes e avalia possíveis alterações na gengiva ou em outras estruturas da boca. Esse acompanhamento permite identificar problemas ainda no início, antes que se tornem dolorosos ou de tratamento mais complexo. Além disso, consultas regulares ajudam a manter os tecidos bucais saudáveis, prevenindo sensibilidade e reduzindo a chance de cáries.
Manter a periodicidade recomendada, geralmente a cada seis meses, é fundamental para quem busca um sorriso bonito e, principalmente, saudável. A limpeza profissional não substitui a rotina diária, mas complementa e potencializa os cuidados feitos em casa. Quer garantir que sua saúde bucal esteja realmente protegida?
Agende sua avaliação com o Dr. Paulo e dê início a um cuidado completo e preventivo.
Comentários
Não nos responsabilizamos pelos comentários feitos por nossos visitantes, sendo certo que as opiniões aqui prestadas não representam a opinião do Grupo Bússulo Comunicação Ltda.






